
標準化はどこまで進んだの?
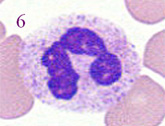
JSLHで実際に検討された好中球(100個)のなかで問題になった細胞を閲覧しましょう。
![]() |
![]() |
![]() |
![]() |
![]() |
![]() |
![]() |
![]() |
![]() |
*核糸を認めないことですべてが桿状核球に分類されたものですがいかがですか。
私的にはすべて分葉核球へ同定しますが‥。









